Kesalahan-kesalahan Umum dalam Pemakaian Antibiotik

Jakarta, CNN Indonesia -- Kesalahan dalam pemakaian antibiotik dapat menyebabkan resistensi atau kondisi di mana obat tak ampuh lagi 'membunuh' bakteri. Kesalahan ini umumnya merupakan kesalahan yang sering kali tak disadari, namun berakibat fatal bagi kesehatan.Organisasi Kesehatan Dunia (WHO) menggolongkan resistensi antibiotik sebagai ancaman global karena dapat menyebabkan keparahan penyakit,…
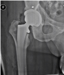
Metode Baru, Operasi Penggantian Pinggul dengan Minimal Invasif

Jakarta - Dr. Lee Woo Guan yang merupakan salah satu dokter ahli spesialis ortopedi terbaik di Malaysia terus berupaya memberikan pelayanan lebih maksimal. Salah satunya dengan memperkenalkan teknologi terkini yaitu 'Operasi Penggantian Pinggul' dengan metode Minimal Invasif (Minimal Invasive Hip Replacement).Semua pasien dapat mengalami nyeri pada pinggul dikarenakan banyak sekali…